Bugün 2018 NFL Draftı. Profesyonel futbolcu olmak isteyerek büyüyen birçok çocuğun hayallerinin gerçekleştiği bir gün. Olmayan bir şey…
Etiket Arşivleri: Brain Injury Lawyers
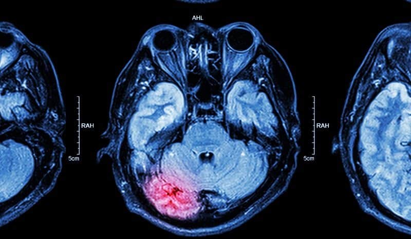
Mart, beyin yaralanmalarının nasıl meydana geldiği, beyin yaralanmalarının yaygınlığı ve beyin hasarının yaşamı değiştiren etkileri hakkında halkı bilinçlendirmek için bir fırsat olarak hizmet eden Beyin Hasarı Farkındalık Ayı'dır.
İş yerinde meydana gelen her beş ölümden en az birinin inşaatla ilgili olduğunu biliyor muydunuz? NY'daki birçok inşaat kazası maalesef mutlu sonla bitmiyor. Düşünmek çok…
Son zamanlarda yapılan bir araştırmaya göre, 14 yaşın altındaki çocuklar oyun alanıyla ilgili kafa yaralanmalarına endişe verici bir oranda maruz kalıyor. 1999'dan bu yana yapılan en kapsamlı incelemede, Hastalık Kontrol Merkezleri şunları buldu:
Bir araba kazası ciddi bir olaydır ve en iyi durumda, kurbanlar kişilerinde sıfır veya çok az hasarla kazadan uzaklaşırlar. Kurbanların emniyet kemerleri çözüldüğünde, araba...
Bebek sahibi olmak, insanların hayatlarında deneyimledikleri birçok mutluluktan biridir. Ancak, bebeğinizin veya çocuğunuzun travmatik beyin hasarına maruz kaldığını öğrenmek…
Travmatik beyin hasarı (TBI) ciddi bir sağlık sorunudur. Amerika'da herhangi bir zamanda yaklaşık 1,6 milyon insan TBI tanısı aldı veya aldı, bu da ...
- 1
- 2






